切换至 "中华医学电子期刊资源库"

中华老年骨科与康复电子杂志 ›› 2023, Vol. 09 ›› Issue (03) : 188 -192. doi: 10.3877/cma.j.issn.2096-0263.2023.03.009

综述

跟骨载距突解剖与临床应用现状
刘家伦, 郑占乐()   
  1. 050051 石家庄,河北医科大学第三医院创伤骨科
  • 收稿日期:2022-09-29 出版日期:2023-06-05
  • 通信作者: 郑占乐

Research advances in the anatomy and clinical application of calcaneal carrier distance

Jialun Liu, Zhanle Zheng()   

  1. The third Hospital of hebei medical University, Department of Orthopedic Surgery, Shijiazhuang 050051, China
  • Received:2022-09-29 Published:2023-06-05
  • Corresponding author: Zhanle Zheng
引用本文:

刘家伦, 郑占乐. 跟骨载距突解剖与临床应用现状[J/OL]. 中华老年骨科与康复电子杂志, 2023, 09(03): 188-192.

Jialun Liu, Zhanle Zheng. Research advances in the anatomy and clinical application of calcaneal carrier distance[J/OL]. Chinese Journal of Geriatric Orthopaedics and Rehabilitation(Electronic Edition), 2023, 09(03): 188-192.

载距突是跟骨的一个特殊结构,其独特的解剖结构与解剖特点造就了载距突在跟骨骨折中很少发生移位的特点。这也证明了载距突具有优异的稳定性。本文综述了载距突的解剖与临床应用,阐述载距突的生物力学稳定性对术中复位和固定的作用,探索如何更好地利用载距突特有的稳定性增加跟骨骨折内固定装置的生物力学强度。

The talus process is a special structure of the calcaneus. Its unique anatomical structure and characteristics make the talus process rarely displaced in calcaneal fractures. This also proves that the load distance protrusion has excellent stability. This paper summarizes the anatomy and clinical application of the talus process, expounds the effect of the biomechanical stability of the talus process on intraoperative reduction and fixation, and explore how to better utilize the unique stability of the talonavicular process to increase the biomechanical strength of internal fixation devices for heel fractures.

图5 Sanders C亚型
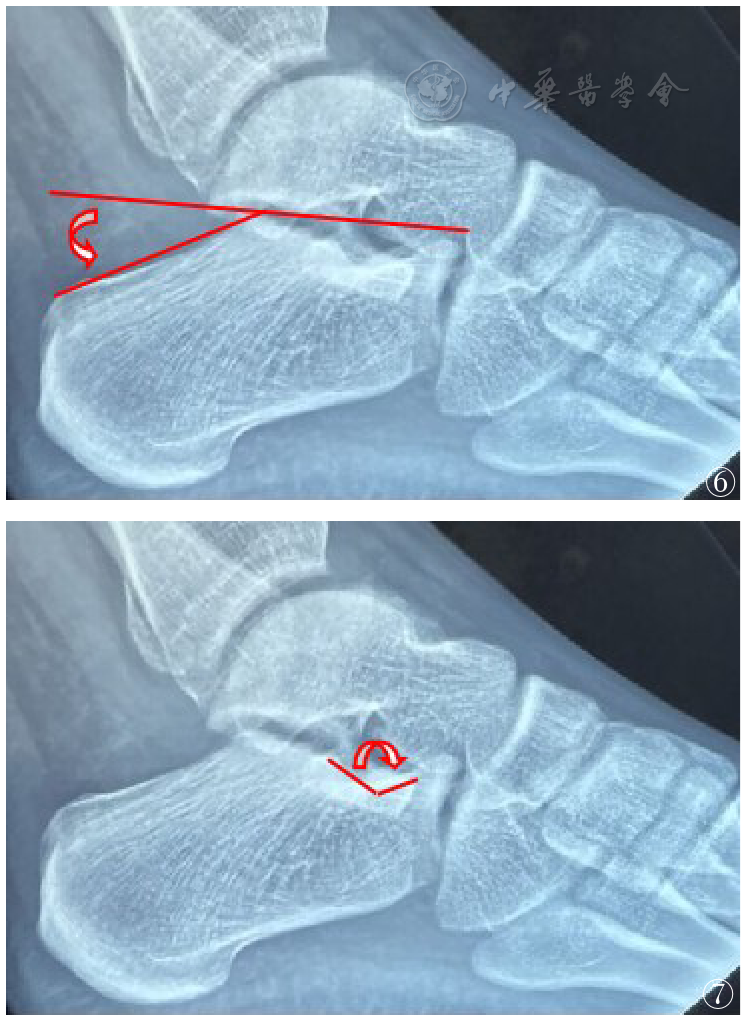
图7 Gissan角
图12 经导航置钉方向
1
Zhang YZ, Su YL, Hao JD, et al. Clinical epidemiology of orthopedic trauma [M]. 1st ed. New York: Thieme, 2012: 472-484.
2
Bezes H, Massart P, Delvaux D, et al. The operative treatment of intraarticular calcaneal fractures. Indications, technique, and results in 257 cases [J]. Clin Orthop Relat Res, 1993 (290): 55-59.
3
Kiewiet NJ, Sangeorzan BJ. Calcaneal fracture management:extensile lateral approach versus small incision technique [J]. Foot Ankle Clin, 2017, 22(1): 77-91.
4
Wang C, Huang DC, Ma X, et al. Sustentacular screw placement with guidance during ORIF of calcaneal fracture: an anatomical specimen study [J]. J Orthop Surg Res, 2017, 12(1): 78.
5
Fuentes-Viejo D, Cellarier G, Lauer P, et al. Primary or secondary subtalar arthrodesis and revision of calcaneal nonunion with minimally invasive rigid internal nail fixation for treatment of displaced Intra-Articular calcaneal fractures [J]. Clin Podiatr Med Surg, 2019, 36(2): 295-306.
6
Conti MS, Garfinkel JH, Ellis SJ. Outcomes of Reconstruction of the flexible Adult-Acquired flatfoot deformity [J]. Orthop Clin North Am, 2020, 51(1): 109-120.
7
薛剑锋,梅国华,邹剑,等.跟骨体楔形截骨结合距下关节融合术治疗跟骨骨折后反屈畸形[J].中华创伤骨科杂志, 2017, 19(12): 1019-1023.
8
Park J, Che JH. The sinus tarsi approach in displaced intra-articular calcaneal fractures [J]. Arch Orthop Trauma Surg, 2017, 137(8): 1055-1065.
9
Dhillon MS, Bali K, Prabhakar S. Controversies in calcaneus fracture management: a systematic review of the literature [J]. Musculoskelet Surg, 2011, 95(3): 171-181.
10
王志杰,邹云雯,钟世镇,等.载距突的解剖学研究及其在跟骨关节内移位骨折手术中的应用[J].中华创伤骨科杂志, 2009 (02): 129-132.
11
Gras F, Marintschev I, Wilharm A, et al. [Sustentaculum Tali Screw Placement for Calcaneus Fractures--Different Navigation Procedures Compared to the Conventional Technique] [J]. Z Orthop Unfall, 2010, 148(3): 309-318.
12
Gitajn IL, Abousayed M, Toussaint RJ, et al. Anatomic alignment and integrity of the sustentaculum Tali in Intra-Articular calcaneal fractures:is the sustentaculum Tali truly constant? [J]. J Bone Joint Surg Am, 2014, 96(12): 1000-1005.
13
De Boer AS, Van Lieshout E, Vellekoop L, et al. 2D and 3D assessment of sustentaculum Tali screw fixation with or without screw targeting clamp [J]. Injury, 2017, 48(12): 2864-2871.
14
Mahato NK. Morphology of sustentaculum Tali:biomechanical importance and correlation with angular dimensions of the talus [J]. Foot (Edinb), 2011, 21(4): 179-183.
15
王冰,朱爱祥,朱裕成,等.载距突轴向X线投照的影像解剖学研究[J].中华解剖与临床杂志, 2018, 23(01): 14-20.
16
Dürr C, Zwipp H, Rammelt S. Fractures of the sustentaculum tali [J]. Operative Orthopädie und Traumatologie, 2013, 25(6): 569-578.
17
Amuti T, Muuthuri N, Nichome L, et al. Morphometric dimensions of the calcaneus [J]. J Foot Ankle Surg, 2020, 59(5): 949-952.
18
Woo KJ, Park JW, Mun GH. The lateral calcaneal artery as an alternative recipient vessel option for heel and lateral foot Reconstruction [J]. Microsurgery, 2018, 38(2): 164-171.
19
郭宗慧,庞清江,刘江涛,等.载距突螺钉内固定治疗Sandersⅱ型跟骨骨折的生物力学研究[J].中华骨科杂志, 2013 (04): 331-335.
20
Qiang M, Chen Y, Zhang K, et al. Effect of Sustentaculum Screw Placement On Outcomes of Intra-Articular Calcaneal Fracture Osteosynthesis: A Prospective Cohort Study Using 3D Ct [J]. Int J Surg, 2015, 19: 72-77.
21
Epstein N, Chandran S, Chou L. Current concepts review:Intra-Articular fractures of the calcaneus [J]. Foot Ankle Int, 2012, 33(1): 79-86.
22
Sanders R, Vaupel ZM, Erdogan M, et al. Operative treatment of displaced intraarticular calcaneal fractures:Long-Term(10-20 years)results in 108 fractures using a prognostic Ct classification [J]. J Orthop Trauma, 2014, 28(10): 551-563.
23
Galluzzo M, Greco F, Pietragalla M, et al. Calcaneal fractures:radiological and Ct evaluation and classification systems [J]. Acta Biomed, 2018, 89(1/S): 138-150.
24
许东浩,胡茂忠,万东东,等.距下关节撑开器在粉碎性跟骨骨折手术治疗中的应用[J].中华创伤杂志, 2016, 32(03): 218-222.
25
Agren PH, Wretenberg P, Sayed-Noor AS. Operative versus nonoperative treatment of displaced Intra-Articular calcaneal fractures:a prospective,randomized,controlled multicenter trial [J]. J Bone Joint Surg Am, 2013, 95(15): 1351-1357.
26
Bussewitz BW, Hyer CF. Screw placement relative to the calcaneal fracture constant fragment:an anatomic study [J]. J Foot Ankle Surg, 2015, 54(3): 392-394.
27
张翅,袁仕国,周孟君,等.点对点定位器辅助置入固定跟骨骨折载距突螺钉的初步报告[J].中华创伤骨科杂志, 2010 (11): 1095-1097.
28
Gitajn IL, Toussaint RJ, Kwon JY. Assessing accuracy of sustentaculum screw placement during calcaneal fixation [J]. Foot Ankle Int, 2013, 34(2): 282-286.
29
张英泽.跟骨骨折微创治疗[M].北京:人民卫生出版社, 2015: 171-172.
30
Campbell ST, Taylor M, Dunbar RP, et al. Long-term sequelae of septic arthritis after tibial plateau fracture fixation: does timing matter? [J]. Arch Orthop Trauma Surg, 2022, 142(6): 955-959.
31
陈晔,孙焕建,施凤超,等.内外侧联合入路切开复位内固定术治疗合并载距突骨折脱位的跟骨骨折[J].中华骨科杂志, 2022, 42(03): 172-181.
32
Sganga ML, Summers NJ, Barrett B, et al. Radiographic union scoring scale for determining consolidation rates in the calcaneus [J]. J Foot Ankle Surg, 2018, 57(1): 2-6.
33
Chun DI, Cho J, Lee JS, et al. A novel prediction model for determining coronal length of calcaneus using Ct:A guide for surgery of calcaneal fracture [J]. J Foot Ankle Surg, 2021, 60(4): 724-728.
34
Labronici PJ, Faria G, Pedro BM, et al. Bohler's Angle-Comparison between the Pre-And postoperative in displaced Intra-Articular calcaneal fractures [J]. Rev Bras Ortop(Sao Paulo), 2019, 54(2): 156-164.
35
Della RG, Nork SE, Barei DP, et al. Fractures of the sustentaculum Tali:injury characteristics and surgical technique for reduction [J]. Foot Ankle Int, 2009, 30(11): 1037-1041.
36
Roukis TS. Joint-Sparing surgical management of sanders Iv displaced Intra-Articular calcaneal fractures [J]. Clin Podiatr Med Surg, 2019, 36(2): 251-268.
37
Esenkaya I, Turkmensoy F, Kemah B, et al. Surgical treatment of displaced intraarticular calcaneus fractures using anatomical lateral frame plate [J]. Ulus Travma Acil Cerrahi Derg, 2018, 24(2): 156-161.
38
Qiang MF, Singh RK, Chen YX, et al. Computational biomechanical analysis of postoperative calcaneal fractures with different placement of the sustentaculum screw [J]. Orthop Surg, 2020, 12(2): 661-667.
39
Dingemans SA, Sintenie FW, De Jong VM, et al. Fixation methods for calcaneus fractures: a systematic review of biomechanical studies using cadaver specimens [J]. J Foot Ankle Surg, 2018, 57(1): 116-122.
40
Seat A, Seat C. Lateral extensile approach versus minimal incision approach for open reduction and internal fixation of displaced Intra-Articular calcaneal fractures:a Meta-Analysis [J]. J Foot Ankle Surg, 2020, 59(2): 356-366.
41
徐国辉,彭阿钦,张英泽.跟骨内外侧经皮置针安全区解剖学研究[J].中华创伤骨科杂志, 2011 (08): 750-753.
42
Kwon JY, Zurakowski D, Ellington JK. Influence of contralateral radiographs on accuracy of anatomic reduction in surgically treated calcaneus fractures [J]. Foot Ankle Int, 2015, 36(1): 75-82.
43
Cottom JM, Baker JS. Restoring the anatomy of calcaneal fractures:a simple technique with radiographic review [J]. Foot Ankle Spec, 2017, 10(3): 235-239.
44
Swartman B, Frere D, Wei W, et al. Wire placement in the sustentaculum Tali using a 2D Projection-Based software application for Mobile C-Arms: cadaveric study [J]. Foot Ankle Int, 2018, 39(4): 485-492.
45
Beerekamp M, de Muinck K R, Schepers T, et al. The Correlation Between Intra-Operative 2D- And 3D Fluoroscopy with Postoperative Ct-Scans in the Treatment of Calcaneal Fractures [J]. Eur J Radiol, 2019, 112: 222-228.
46
Peiffer M, Belvedere C, Clockaerts S, et al. Three-Dimensional displacement after a medializing calcaneal osteotomy in relation to the osteotomy angle and hindfoot alignment [J]. Foot Ankle Surg, 2020, 26(1): 78-84.
47
Schepers T, Misselyn D. 3D printing calcaneal fractures:continuously improving our care by making a complex problem tangible [J]. J Invest Surg, 2018, 31(6): 568-569.
48
王冰,朱爱祥,乔风雷,等.基于虚拟和仿真技术的载距突精准置钉在治疗跟骨关节内骨折中的应用[J].中华创伤骨科杂志, 2020, 22(07): 610-617.
49
Beerekamp M, Backes M, Schep N, et al. Effects of intra-operative fluoroscopic 3D-imaging on peri-operative imaging strategy in calcaneal fracture surgery [J]. Arch Orthop Trauma Surg, 2017, 137(12): 1667-1675.
50
何藻鹏,李卫,刘金伟,等. 3D打印技术在Sanders ⅲ型跟骨骨折内固定手术设计中的应用[J].中华创伤骨科杂志, 2017, 19(09): 791-796.
51
Mat Rodi MS, Vaseenon T, Phanphaisarn A, et al. A Windows technique for sustentaculum tali screw fixation using the sinus tarsi approach for calcaneal fractures: a cadaveric study [J]. Arch Orthop Trauma Surg, 2021 (4): Online ahead of print.
52
马超,王成伟,唐国柱.微创技术与开放手术治疗Sandersⅱ,ⅲ型跟骨骨折的疗效比较[J].中华骨科杂志, 2020, 40(21): 1443-1452.
53
Xia S, Fu B, Wang B, et al. Computed tomography Imaging-Based preoperative virtual simulation for calcaneal fractures reduction [J]. J Foot Ankle Surg, 2019, 58(2): 248-252.
54
Harren K, Dittrich F, Reinecke F, et al. [Digitalization and Artificial Intelligence in Orthopedics and Traumatology] [J]. Orthopade, 2018, 47(12): 1039-1054.
55
王冰,史册,杨春,等.载距突轴位和正位X线成像技术在跟骨关节内骨折手术中的应用价值[J].中华解剖与临床杂志, 2021, 26(02): 125-131.
56
赵利明,李竹青,李伟,等. 3D打印导板辅助置入载距突螺钉治疗跟骨关节内骨折[J].中华骨科杂志, 2020, 40(24): 1670-1678.
57
王冰,朱爱祥,史册,等.基于跟骨前部外侧壁和载距突解剖分区的载距突精准置钉技术的应用研究[J].中华创伤骨科杂志, 2022, 24(10): 848-855.
58
刘金伟,杨斌,刘得恒,等.跟骨内侧定位导向器辅助与徒手置入载距突螺钉治疗移位的跟骨关节内骨折的疗效比较[J].中华创伤杂志, 2020, 36(12): 1083-1089.
59
张英泽.骨折顺势复位固定理论在创伤骨科中的应用[J].中华创伤杂志, 2017, 33(07): 577-580.
60
Wang Q, Chen W, Su Y, et al. Minimally invasive treatment of calcaneal fracture by percutaneous leverage,anatomical plate,and compression Bolts--The clinical evaluation of cohort of 156 patients [J]. J Trauma, 2010, 69(6): 1515-1522.
61
王庆贤,周亚斌,赵士猛,等.解剖钢板+加压骨栓内固定顺势治疗移位跟骨关节内骨折[J].中华创伤杂志, 2017, 33(07): 602-607.
62
李筱轶,秦瑾,张虎波,等.开放性骨折术后伤口感染的危险因素分析[J].中华老年骨科与康复电子杂志, 2017, 3(02): 85-90.
63
张英泽.尊重科学规律 不断求实创新[J].中华老年骨科与康复电子杂志, 2017, 3(01): 1-3.
[1] 孙佳丽, 金琳, 沈崔琴, 陈晴晴, 林艳萍, 李朝军, 徐栋. 机器人辅助超声引导下经皮穿刺的体外实验研究[J/OL]. 中华医学超声杂志(电子版), 2024, 21(09): 884-889.
[2] 陈浩, 王萌. 胃印戒细胞癌的临床病理特征及治疗选择的研究进展[J/OL]. 中华普外科手术学杂志(电子版), 2025, 19(01): 108-111.
[3] 母德安, 李凯, 张志远, 张伟. 超微创器械辅助单孔腹腔镜下脾部分切除术[J/OL]. 中华普外科手术学杂志(电子版), 2025, 19(01): 14-14.
[4] 向辉, 贾晓斌, 全卫涛. 真空辅助乳腺微创旋切术治疗乳腺纤维瘤的效果及并发症观察[J/OL]. 中华普外科手术学杂志(电子版), 2024, 18(05): 528-530.
[5] 刘柏隆. 女性压力性尿失禁阶梯治疗之手术治疗方案选择[J/OL]. 中华腔镜泌尿外科杂志(电子版), 2025, 19(01): 126-126.
[6] 吴登爽, 李墨农, 张欣红, 侯四川, 邱志磊. 解剖性显微镜下精索静脉结扎术的临床研究[J/OL]. 中华腔镜泌尿外科杂志(电子版), 2024, 18(06): 591-596.
[7] 仝聪, 周哲琦, 阎立昆. 食管裂孔疝合并胃食管反流病治疗现状及与胃食管结合部肿瘤的关系[J/OL]. 中华疝和腹壁外科杂志(电子版), 2024, 18(05): 491-493.
[8] 蒋凤茹, 朱熠林. 双腔造瘘口旁疝诊疗经验[J/OL]. 中华疝和腹壁外科杂志(电子版), 2024, 18(05): 534-537.
[9] 李凯, 陈淋, 苏怀东, 向涵, 张伟. 超微创器械在改良单孔腹腔镜巨大肝囊肿开窗引流及胆囊切除中的应用[J/OL]. 中华肝脏外科手术学电子杂志, 2025, 14(01): 144-144.
[10] 卓文锋, 曾桂芳, 杨思加, 赵家立, 邹宝嘉, 白子锐, 林恩, 李坚. 腹腔镜巨脾切除术:逐步打破的手术壁垒[J/OL]. 中华肝脏外科手术学电子杂志, 2024, 13(06): 783-788.
[11] 张宗明, 董家鸿, 何小东, 王秋生, 徐智, 刘立民, 张翀. 老年胆道外科热点问题的争议与思考[J/OL]. 中华肝脏外科手术学电子杂志, 2024, 13(06): 754-762.
[12] 翁桂湖, 刘悦泽, 张太平. 胰腺神经内分泌肿瘤治疗进展与争议[J/OL]. 中华肝脏外科手术学电子杂志, 2024, 13(05): 602-606.
[13] 曹文钰, 郭鹏, 李锦平. 微创手术及非手术方式治疗慢性硬膜下血肿的研究进展[J/OL]. 中华神经创伤外科电子杂志, 2024, 10(05): 304-309.
[14] 谭明明, 战世强, 侯宏涛, 曾翔硕. 经皮微创椎弓根螺钉内固定术对骨质疏松脊柱压缩性骨折患者临床研究[J/OL]. 中华老年骨科与康复电子杂志, 2024, 10(06): 349-354.
[15] 李新宇, 梁建锋. 3D打印导板辅助颅内血肿穿刺引流手术[J/OL]. 中华脑科疾病与康复杂志(电子版), 2024, 14(06): 382-384.
阅读次数
全文


摘要


AI


AI小编
你好!我是《中华医学电子期刊资源库》AI小编,有什么可以帮您的吗?